-
흡연 단속 서초구 1등…강북구보다 적발 100배 많아
2017-10-25 서울신문 -
전자담배는 안전? 일반 담배만큼 폐에 안좋다
2017-10-22 서울신문 -
[핵잼 사이언스] “임신 중 미세먼지 노출된 태아가 더 빨리 늙는다”
2017-10-21 서울신문 -
[알쏭달쏭+] 서 있어야 집중력 향상?…‘적당한 스트레스’의 힘
2017-10-20 나우뉴스 -
“임신 중 미세먼지 노출, 태아 노화 촉진 가능성”(연구)
2017-10-17 나우뉴스 -
한국인, 소주 1~2잔도 암 위험 “절주 아닌 금주해야”
2017-10-17 서울신문 -
[메디컬 인사이드] 추워지면 ‘쥐어짜는 심장’…고단한 외침을 들어라
2017-10-17 서울신문 -
10대 알코올중독 8000명… 5년간 25%나 늘었다
2017-10-17 서울신문 -
“첫 음주 13살 때…청소년 알코올 중독자 3년 연속 증가“
2017-10-16 서울신문 -
검찰, ‘마약 혐의’ 남경필 장남 구속기소
2017-10-13 서울신문 -
[단독] 스트레스·비만 탓…남성 난임 29% 늘었다
2017-10-13 서울신문 -
김도진 교수 ‘마르퀴즈 후즈 후’ 2018년 세계인명사전 등재
2017-10-12 서울Pn -
“8년내 전세계 인구 3분의 1 비만·과체중 될 것”
2017-10-12 서울신문 -
[단독] [누가 김부장을 죽였나] 갑자기 손발 저리고 두통에 식욕부진…뇌혈관질환 전조 증상
2017-10-12 서울신문 -
치과의사·법학도… 아이슬란드 축구 ‘월드컵 동화’
2017-10-11 서울신문 -
“아이코스, 발암물질 포함…일반 담배와 동일하게 취급해야”
2017-10-10 서울신문 -
담배 구매 연령 18세→21세로…연간 22만명 살릴 수 있다
2017-10-05 서울신문 -
아쉬운 연휴 마무리…‘명절후유증’ 대비하세요
2017-10-07 서울신문 -
‘부모님 치매 진단법’ 추석연휴에 체크하세요
2017-10-02 서울신문 -
‘마약혐의’ 배우 차주혁, 2심서도 실형…1심처럼 징역 1년 6개월
2017-09-28 서울신문 -
‘담배 끊는 마을’ 동작
2017-09-27 서울Pn -
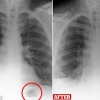
폐 속 암덩어리?…알고보니 40년 전 삼킨 장난감
2017-09-26 나우뉴스 -
한서희 데뷔, “못 하면 한 맺힐 것 같아” 대마초 후 걸그룹 데뷔
2017-09-26 서울En -
페미니스트 선언 한서희 “허언증이라고 하면 당황스럽다”
2017-09-25 서울En -
‘탑과 대마초’ 한서희 “나는 페미니스트, 화제인 걸 이용해 알리고 싶다”
2017-09-25 서울En -
한서희, 4인조 그룹으로 데뷔 예정 “망할 것 알고 있지만..”
2017-09-25 서울En -
한서희, 법원 출석에 명품 패션+풀세팅 ‘플래시 세례 받는 날?’
2017-09-21 서울En -
“취객 체포하라”… 두테르테, 이번엔 ‘술과의 전쟁’
2017-09-21 서울신문 -
폐병 일으키는 충격적인 흡연 실험영상 화제
2017-09-20 서울신문 -
“한서희 형량 부당하지 않아” 법원, 검찰 항소 ‘기각’
2017-09-20 서울En