-
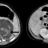
국내 의료진이 결장암 맞춤 수술법 개발
2015-07-15 서울신문 -
대장 용종 제거한 당신, 술잔 들기 전 한번 더 생각!
2015-07-13 서울신문 -
술 마신 이튿날 꼭 설사… 과민성대장증후군 의심!
2015-07-13 서울신문 -
‘기괴한 외형’ 고대 벌레 할루시제니아, 비밀 풀렸다
2015-06-25 나우뉴스 -
윤종신 크론병, 난치병 고백..아내 전미라 눈물 펑펑
2015-06-22 서울En -
윤종신 크론병, 희귀 난치병 고백 “지금도 혈변 본다” 전미라 눈물 펑펑..충격
2015-06-22 서울En -
윤종신 크론병, 희귀 난치병 고백 “지금도 혈변 본다” 아내 전미라 눈물 펑펑..안타까워
2015-06-22 서울En -
윤종신 크론병 “안쓰러워 펑펑 울었다” 크론병 어떤 병인 지 봤더니
2015-06-22 서울신문 -
윤종신 크론병, 희귀 난치병 사실 알고는..전미라 눈물 펑펑
2015-06-21 서울En -
윤종신 크론병, 아내 전미라 펑펑 운 이유는?
2015-06-21 서울En -
윤종신 크론병 “소화기에 만성적 염증” 도대체 왜 나타나나?
2015-06-21 서울신문 -
윤종신 크론병 “소화기에 만성적 염증” 계속 고통받은 이유는?
2015-06-21 서울신문 -
윤종신 크론병 “지금도 혈변 보고 있다” 도대체 어떤 상황인 지 봤더니 ‘충격’
2015-06-21 서울신문 -
윤종신 크론병 “지금도 혈변 보고 있다” 크론병의 정체 자세히 살펴보니
2015-06-21 서울신문 -
윤종신 크론병, 윤종신에게 무슨 일이? 아내 반응보니..
2015-06-21 서울En -
윤종신 크론병 “안쓰러워 펑펑 울었다” 크론병 도대체 뭐길래?
2015-06-21 서울En -
윤종신 크론병, 희귀 난치병 고백..아내 반응은?
2015-06-21 서울En -
윤종신 크론병, 희귀 난치병 사실에 전미라 눈물 펑펑..윤종신 반응 봤더니?
2015-06-20 서울En -
인간 돕는 ‘엉덩이 로봇’...항문검사 실습용 ‘패트릭’
2015-05-29 나우뉴스 -
항문검사 실습용 ‘엉덩이 로봇’ 패트릭…”냄새 안 나요”
2015-05-28 나우뉴스 -
[공무원이 들려주는 공직이야기] (6)관세청
2015-05-28 서울Pn -
급증하는 여름 기저귀 발진과 땀띠...아이 성장, 두뇌 발달 악영향 미칠 수 있어
2015-05-12 나우뉴스 -
‘쉬’ 급한데… 오래 참는 일 잦으면 방광염 위험!
2015-05-04 서울신문 -
끈벌레 한강 하류대량 출몰, 끈처럼 생긴 벌레..생김새 ‘소름’ 어떤지 봤더니..
2015-04-06 서울En -
끈벌레 한강 하류대량 출몰, 끈처럼 생긴 벌레 ‘소름’ 어떤 피해 입히나 봤더니?
2015-04-06 서울En -
방광질환 부끄럽다고 방치했다간 큰일 나요
2015-04-01 서울En -
을지대병원 의료팀 ‘노츠 자궁적출술’ 국내 첫 성공
2015-03-16 서울신문 -
[제대로 알자! 의학상식]
2015-03-02 서울신문 -
홍콩 신생아 배 속에 ‘쌍둥이 태아’ 가지고 출생
2015-02-10 나우뉴스 -
썩은 고기 먹는 ‘콘도르’는 식중독에 걸리지 않는다...왜?
2015-02-05 나우뉴스