-
‘사투’ 벌이는 공룡 화석 30억원 낙찰 눈길
2011-06-14 나우뉴스 -
칠레서 사상 첫 완전한 ‘마스토돈’ 머리화석 발견
2011-05-25 나우뉴스 -
고래 토사물은 로또?…4억원짜리 ‘용연향’ 발견 횡재
2011-05-12 나우뉴스 -
어룡에 물린 ‘바다 괴물’ 화석 발견
2011-05-06 나우뉴스 -
국립발레단 수석무용수 김현웅 ‘폭행 물의’ 사표 수리
2011-04-21 서울신문 -
1200년 만에 깨어난 ‘당나라 공주’ 얼굴 보니…
2011-04-19 나우뉴스 -
혀 길이가 무려 25cm ‘거설증’ 희귀병 환자 충격
2011-04-14 나우뉴스 -
초식공룡 잡아먹는 ‘초대형 괴물’ 최초 발견
2011-04-01 나우뉴스 -
턱 변형 환자 수술로 웃음 되찾다
2011-03-17 서울신문 -
상어도 잡아먹는 초대형 고대 괴물 ‘메갈로돈’ 경매
2011-03-16 나우뉴스 -
스키장서 과속 충돌사고 낸 30대 ‘벌금 300만원’
2011-02-05 서울신문 -
우리딸 예쁜 얼굴 라인? 男보다 ‘턱교정’ 빨라야
2011-01-31 서울신문 -
울산서 5.2m 대형고래 턱뼈 발견
2010-12-17 서울Pn -
페루에서 잉카문명 ‘개 미라’ 무더기 발견
2010-11-11 나우뉴스 -
가위를 목을 찔리고도 살아난 4세 소년
2010-08-05 나우뉴스 -
[Weekly Health Issue] 재건성형
2010-08-02 서울신문 -
브래드피트, 수염 깎고 急’회춘’…네티즌 ‘반색’
2010-07-13 나우뉴스 -
임혁필이 받은 ‘양악수술’ 네티즌 관심 ‘폭주’
2010-07-05 나우뉴스 -
영구치 날때 시술… 예쁜치열 만들어요
2010-05-17 서울신문 -
세계 최초 ‘페이스 오프’ 환자 얼굴 공개
2010-05-05 나우뉴스 -
스페인판 ‘페이스오프’…얼굴 통째이식 세계 첫 성공
2010-04-24 서울신문 -
[메디컬 팁] 예줄기세포 연구소 개소
2010-04-12 서울신문 -
육군사병 폭력 축소·은폐 의혹
2010-03-16 서울신문 -
뼈의 위치·길이·각도 등 교정 대상
2010-03-01 서울신문 -
[Weekly Health Issue] <7〉얼굴뼈 성형
2010-03-01 서울신문 -
길이 10m ‘초대형 상어 화석’ 발견 화제
2010-02-25 나우뉴스 -
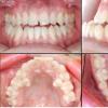
[Weekly Health Issue] (6)치아교정
2010-02-22 서울신문 -
안젤리나 졸리 ‘성형부작용’ 포착?
2010-02-20 나우뉴스 -
“이게 웬 떡?”…제 꼬리 먹은 바보 뱀
2009-12-01 나우뉴스 -
1500년전 그녀는 8등신 미인
2009-11-26 서울신문