-
6. 방년 20세의 슬픈 겨울…늘어나는 여성 자살 [선데이서울로 보는 그때 그 시절]
2014-12-10 서울신문 -
1초에 10의 18 제곱 연산... ‘엑사스케일 컴퓨팅’이 온다.
2014-12-05 나우뉴스 -
듀오, 업계 최초 기록… 3만 성혼 돌파 기념 ‘사랑의 연탄 배달’ 진행
2014-12-04 나우뉴스 -
“패션·회화·실용음악 강의 만족도 최고”
2014-12-02 서울신문 -
호나우두와 즐라탄, 최고 공격수의 만남
2014-12-01 나우뉴스 -
즐라탄이 뽑은 세계 베스트 11, 선명한 본인 이름
2014-11-29 나우뉴스 -
[하프타임] 한국 FIFA랭킹 69위 역대 최저
2014-11-28 서울신문 -
[삼성·한화 2조원대 ‘톱딜’] ‘윈 - 윈’ 사업재편… 양측 오너 일가의 결단 크게 작용한 듯
2014-11-27 서울신문 -
[이일우의 밀리터리 talk] 인도 항공모함의 ‘인생 한방’ 스토리
2014-11-27 나우뉴스 -
[단독] “국토부 출신 이사장들이 철피아 부패의 싹”
2014-11-26 서울신문 -
[아하! 우주] 타이탄의 바다 위를 날다-NASA, 동영상 발표
2014-11-25 나우뉴스 -
황제 곁 사방이 적이네
2014-11-21 서울신문 -
아흔네살 도어맨 스리랑카 울리다
2014-11-20 서울신문 -
강남 러시아 시장 진출 ‘시동’… 2573억 달러 계약상담 실적
2014-11-20 서울Pn -
체면치레한 K11 소총
2014-11-19 서울신문 -
동탄은 시작에 불과하다, 평택 최초’라마다 비즈니스호텔’ 분양 열기 후끈
2014-11-17 서울신문 -
독도는 ‘천연기념물’이 맞다? 아니다?… 서경덕 교수, ‘독도 지식 캠페인’ 2탄 공개
2014-11-14 서울신문 -
‘포탄은 앞으로, 포는 뒤로’ 아찔한 사제 바주카포 발사 장면
2014-11-07 서울신문 -
‘토성 위성’ 타이탄 품에 안긴 레아 포착
2014-11-05 나우뉴스 -
여야 ‘동서화합모임’ 예산·선거구 단합 과시
2014-11-05 서울신문 -
‘토성 위성’ 타이탄 품에 푹~ 안긴 레아 포착
2014-11-05 나우뉴스 -
태양빛 반사하는 타이탄 호수 -NASA 공개
2014-11-02 나우뉴스 -
NASA, 태양빛 반사하는 타이탄 크라켄 바다 공개
2014-10-31 나우뉴스 -
빈센트 탄 구단주, LA 팀 인수로 MLS 진출 타진
2014-10-30 나우뉴스 -
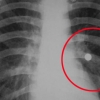
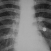
의사가 수술 거부... 심장에 총알 박힌 채 두 달간 병원 전전
2014-10-27 나우뉴스 -
총 맞은 경찰 “성경책 덕분에 살았어요”
2014-10-27 나우뉴스 -
타이탄 북극서 미스터리 ‘거대 구름’ 발견
2014-10-26 나우뉴스 -
[열린세상] 개헌 논의, 막을 수 있을까/홍성걸 국민대 행정정책학부 교수
2014-10-25 서울신문 -
“수술 힘들어”... 심장에 총 박힌 남자, 두 달간 병원 전전
2014-10-24 나우뉴스 -
[이일우의 밀리터리 talk] ‘괴짜 사령관’과 특전사의 환골탈태
2014-10-23 나우뉴스