-
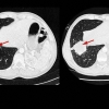
‘이것’ 맞은 암 환자, 훨씬 더 오래 살았다…“면역 활성화”
2025-10-25 서울신문 -
“당뇨병이라면서요” 알고보니 침묵의 췌장암…‘이 증상’ 있었다
2025-09-15 서울신문 -
동강대 미래 백신·면역치료 신기술 배우다
2023-12-03 서울신문 -
“모든 암세포 사멸한다…유방암 쥐로 ‘전임상’ 성공”
2023-08-06 서울신문 -
만병통치약 ‘아스피린’ 비밀 알고 보니…[사이언스 브런치]
2023-03-31 서울신문 -
간질간질 훌쩍훌쩍… 숨 막히는 봄, 잠 못 드는 밤
2023-03-14 서울신문 -
꽃가루와 함께 온 ‘콜록’… 고통스런 천식, 벗지 못하는 마스크
2022-05-10 서울신문 -
알레르기 비염엔 동국제약 ‘코앤텍’… 코점막에 보호막 형성
2022-03-23 서울신문 -
콧물 훌쩍훌쩍, 몸은 간질간질… 환절기에 더 심해지는 알레르기
2022-03-22 서울신문 -
[장수철의 생물학을 위하여] 조절이 중요하다
2020-09-08 서울신문 -
봄만 되면 ‘에이취~’… 알레르기비염엔 ‘항히스타민제’ 효과
2020-04-29 서울신문 -
[달콤한 사이언스] 알츠하이머 치매도 백신으로 막을 수 있을까
2020-01-02 서울신문 -
암 4기 진단받은 4개월 아기, 힘든 항암치료 견디고 완치
2019-04-06 나우뉴스 -
항암면역요법 무턱대고 썼다가는 암 더 키운다
2019-04-01 서울신문 -
‘노벨 생리의학상’ 수상한 혼조 교수 “기초연구가 새로운 암 면역요법 됐다”
2018-10-01 서울신문 -
전이성 유방암, 면역치료로 완치…세계 최초 사례 학계 보고
2018-06-05 나우뉴스 -
[메디컬 인사이드] 지긋지긋한 재채기·콧물… 천적을 잡아라
2017-03-21 서울신문 -
시한부 암환자, 임상시험약 처방받고 종양 사라져
2017-02-06 나우뉴스 -
소아암 환자가 파는 ‘기적의 핫 초콜릿’ 화제
2016-12-29 나우뉴스 -
[이상욱의 암 연구 속으로] 제4의 암치료법으로 주목받는 항암면역요법
2016-08-30 서울신문 -
수혈하듯 면역세포 이식받는 새 암 치료법
2016-05-25 서울신문 -
[심재억 기자의 헬스토리 32] 오늘 당신이 암 선고를 받는다면
2016-01-31 서울신문 -
[사이언스 톡톡] 꽃가루 알레르기 유발 단백질 기생충 단백질과 꽤 비슷해요
2015-11-03 서울신문 -
울산피부과 “지루성두피염으로 인한 탈모 치료 시 이것 고려해야 재발 막는다”
2015-10-26 서울신문 -
천안피부과 “휴가 후 피부관리 신경 써야 여드름/안면홍조 막을 수 있어”
2015-08-24 서울신문 -
말기암도 치료? 획기적 ‘면역요법 항암제’ 나와
2015-06-05 나우뉴스 -
혁명적 ‘면역요법 항암제’ 공개...美학회 “화학요법후 최대 발견”
2015-06-02 나우뉴스 -
획기적 ‘면역요법 항암제’ 공개...”암치료 새 장 열렸다”
2015-06-01 나우뉴스 -
암세포 잡는 ‘킬러 T세포’…英 케임브리지大, 첫 촬영 성공
2015-05-25 나우뉴스 -
계속 커지고 번지는 ‘사마귀’ 어쩌지?
2015-04-30 서울신문