-
옷 사이즈 한 치수 늘면, 유방암 확률 33% 증가
2014-09-25 나우뉴스 -
“양식 훈제연어, 알고보니 피자보다 지방함량 3배” 충격
2014-09-20 나우뉴스 -
K팝스타3 남영주, 샤워커튼 사이로 몸매 실루엣이..‘사진에 숨겨진 비밀?’
2014-09-17 서울En -
K팝스타3 남영주, 적나라한 육감몸매 ‘사진속 노출’ 확대해보니 “아찔19금”
2014-09-17 서울En -
남영주, ‘노래+몸매’로 팬들 마음 흔들어..
2014-09-17 서울En -
남영주, ‘볼륨몸매+여신미모’ 남팬환호
2014-09-16 서울En -
“여성은 서른아홉살때부터 나이 들었다고 느낀다”
2014-09-16 나우뉴스 -
K팝스타3 남영주, 누드 실루엣? 깜짝
2014-09-16 서울En -
K팝스타3 남영주, 너무 야한 사진들?
2014-09-16 서울En -
남영주, 과거 K팝영상 속 박진영 외모 극찬 ‘누구 닮았길래’
2014-09-16 서울En -
연어는 다 좋다? “양식 연어 지방량, 피자 3배” 충격
2014-09-16 나우뉴스 -
남영주 첫 싱글 포스터 “다 벗은 거야?” 샤워커튼 뒤 실루엣 보니 ‘깜짝’
2014-09-16 서울En -
남영주 첫 싱글 포스터 “다 벗은 거야?” 샤워커튼 뒤 각선미 ‘깜짝’
2014-09-16 서울En -
“양식 훈제연어 지방 함량, 피자 3배” 보도 충격
2014-09-15 나우뉴스 -
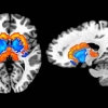
‘살찌는 이유’ 알고보니 범인은 우리 ‘뇌’ (美 연구)
2014-09-14 나우뉴스 -
[농촌진흥청과 함께하는 식품보감] 감기약 대신 양파 해장국 대신 양파
2014-09-12 서울신문 -
살찌는 원인 뇌에 있었다…뚱뚱할수록 만족감 떨어져
2014-09-12 나우뉴스 -
“넌 너무 뚱뚱해” 지적 받을수록 더 살찐다
2014-09-11 나우뉴스 -
슈, 꾸준한 몸매관리의 성공비결은?
2014-09-05 서울신문 -
유설아 결혼, 재벌 며느리룩 어떨까? ‘재벌도 반한 단아한 자태’
2014-08-29 서울En -
살찐 아사다 마오,’아이스 버킷’ 했다가…‘굴욕’
2014-08-29 서울신문 -
달콤한 나의 도시 최정인, 스포츠아나운서 꿈꾼 외모 보니…‘청순해’
2014-08-28 서울En -
여성 의류 쇼핑몰 ‘레미떼’, 가을 신상품 출시 및 다양한 이벤트 실시
2014-08-26 나우뉴스 -
미인대회 출전시키려…딸에 촌충 먹인 母
2014-08-25 나우뉴스 -
레이디 제인, ‘잘록한 허리 대비되는 볼륨 몸매’ 과시
2014-08-24 서울En -
육중완 ‘내 스타일 아니야’ 홍보, 가사 보니 “자식농사 지어보자”
2014-08-20 서울En -
‘나이스 바디’ 효민, 바쁜 스케줄 속 일상 공개’브런치’ 나들이 패션 ‘눈길’
2014-08-20 서울En -
[우리 아파트 관리비 절약 비법을 공개합니다] 주차장 공유했더니… 관리비 ‘날씬’
2014-08-15 서울Pn -
쓰레기통에 머리와 사지 잘린 사람몸통이...
2014-08-13 나우뉴스 -
“어릴 때 다이어트, 커서 알코올 중독 위험↑”-미국 연구
2014-08-06 나우뉴스