“눈 가려워 벅벅”…현미경으로 봤더니 속눈썹에 성관계로 감염된 ‘이것’ 포착
이보희 기자
수정 2026-01-01 09:25
입력 2025-12-31 23:30
50대 남성 속눈썹·사타구니서 ‘사면발이’ 포착
성매개 질환 ‘클라미디아 요도염’도 동반
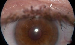
눈에 극심한 가려움증을 호소하던 50대 남성의 눈꺼풀에서 기생충 ‘사면발이’가 발견된 사례가 전해졌다.
31일 의학 학술지 ‘피부과 온라인 저널’(Dermatology Online Journal)에 따르면 53세 남성 A씨는 약 3개월간 양쪽 눈에서 심한 가려움과 함께 모래가 들어간 듯한 이물감을 느껴 병원을 찾았다.
검진 결과 양쪽 눈의 위·아래 눈꺼풀에 작은 벌레들이 박혀 있었다. 그 정체는 사면발이였다.
사면발이는 보통 음모에서 발견되는 작은 기생충이다. 유일하게 알려진 숙주는 사람으로, 성관계가 가장 큰 감염 요인이다.
의료진은 추가 검사를 통해 성병 감염 여부와 다른 체모 부위의 감염 상태를 함께 확인했다. 그 결과 사타구니 부위에서도 사면발이가 발견됐으며, 성 매개 감염병인 클라미디아 요도염 역시 동반된 것으로 나타났다.
사면발이는 짧고 넓은 ‘게’ 모양의 몸집을 가져 서양권에서는 ‘크랩’(crab)이라고 부른다. 평균 몸길이는 1.5~2㎜로, 맨눈으로 보면 큰 비듬 조각처럼 보일 수 있다. 사람의 혈액을 먹고 살며 하루 4~5차례 흡혈한다. 암컷이 체모에 낳은 알은 보통 2~3주 내 부화한다.
앞서 지난 11월에도 70대 여성의 속눈썹에서 사면발이가 발견된 사례가 보고된 바 있다.
포르투갈 페드루 이스파누병원 안과 의료진에 따르면 72세 여성이 18개월 동안 왼쪽 눈 가려움증을 겪고 있다며 내원했다. 자세한 검사 결과 여성의 속눈썹에서 18마리의 사면발이가 확인됐다.
의료진은 “속눈썹에서 사면발이가 발생한 드문 사례”라면서 “이 환자는 최근 성관계를 가진 적도 없다고 했다”고 밝혔다.
해당 환자의 경우처럼 성관계하지 않더라도 사면발이가 있는 사람과 의복, 침구류, 수건 등을 공유할 경우 감염될 수 있다. 사람이 많이 다니는 수영장이나 찜질방, 헬스장, 숙박업소 등을 통해서도 감염 가능성이 있다.
전문가들은 사면발이 감염이 의심될 경우 다른 부위로 퍼지기 전에 의료기관을 찾아야 한다고 조언한다. 초기에 제거하지 않으면 겨드랑이털, 눈썹, 수염, 머리카락 등에서도 발견될 수 있다. 일반적으로 살충 성분이 포함된 페노트린 로션이나 가루를 감염 부위 체모에 발라 제거한다. 다만 소아나 임산부, 수유자의 경우 약물 사용이 제한되므로 제모 등이 대안이 될 수 있다.
사면발이가 발견되면 재감염을 막기 위해 침구류와 속옷, 의류, 수건 등을 55~60도의 뜨거운 물에 세탁하거나 드라이클리닝을 해야 한다. 세탁이 어려운 경우에는 밀봉된 비닐봉지에 넣어 최소 2주 이상 보관하는 게 좋다.
이보희 기자
Copyright ⓒ 서울신문 All rights reserved. 무단 전재-재배포, AI 학습 및 활용 금지
Q.
기사를 다 읽으셨나요? AI 퀴즈로 핵심 점검!
53세 남성의 눈꺼풀에서 발견된 기생충은?

